放射線科(診療放射線技師)
小田原市立病院放射線科(診療放射線技師)は、画像診断部門、放射線治療部門の2部門で構成されています。画像診断部門では、一般撮影、CT、MRI、SPECT、PET/CTなどの検査の施行を行っています。
また、放射線治療部門では、外来や入院の患者様に高エネルギーの放射線を照射し、がん治療や疼痛緩和などを目的に行っている部門です。
当院放射線科(診療放射線技師)は、診療放射線技師24名(常勤)で構成され、患者様に『医療水準の向上に努め、質の高い効率的な医療』を提供できるように日々努力しています。
また、放射線治療部門では、外来や入院の患者様に高エネルギーの放射線を照射し、がん治療や疼痛緩和などを目的に行っている部門です。
当院放射線科(診療放射線技師)は、診療放射線技師24名(常勤)で構成され、患者様に『医療水準の向上に努め、質の高い効率的な医療』を提供できるように日々努力しています。
検査室 紹介
- X線撮影 <X線撮影室3部屋>
- 乳房X線撮影<マンモグラフィ撮影装置1台>
- X線テレビ検査<消化管造影検査用装置2台、泌尿器系造影検査装置1台>
- 骨密度測定<全身用骨密度測定装置1台>
- 血管造影検査<心臓血管用撮影装置1台、汎用血管撮影装置1台>
- X線CT検査 <256列マルチスライスCT1台、64列マルチスライスCT1台>
- MRI検査 <3T MRI 1台 1.5T MRI 1台>
- 核医学検査 <SPECT装置1台>
- PET/CT検査 <PET/CT装置1台>
- 放射線治療<リニアック装置1台>
- 回診用ポータブル撮影装置<7台 OPE室1台、感染対策用1台、NICU1台、病棟用4台>
全てコニカ製 Aero DRとの組み合わせで撮影 - HIS インテック社 RIS 富士フイルム社製 PACS 富士フイルム社製
令和6年度放射線科 検査実績
| 検査項目 | 検査延件数 |
|---|---|
| X線撮影 | 65,212件 |
| 乳房撮影(マンモグラフィ) | 322件 |
| 透視検査 | 3,745件 |
| CT検査 | 21,731件 |
| MRI検査 | 7,860件 |
| 核医学検査 | 1,082件 |
| PET/CT検査 | 321件 |
| 骨塩定量検査 | 679件 |
| 血管撮影(循環器系) | 1,136件 |
| 血管撮影(その他) | 274件 |
| 放射線治療 | 4,361件 |
診療放射線技師 各種認定 保持者
第一種放射線取扱主任者 3名
臨床実習指導者 5名
放射線管理士 3名
放射線機器管理士 3名
放射線被ばく相談員 1名
医療画像情報精度管理士 2名
画像等手術支援認定診療放射線技師 1名
X線CT認定技師 1名
核医学専門技師認定 1名
臨床実習指導者 5名
放射線管理士 3名
放射線機器管理士 3名
放射線被ばく相談員 1名
医療画像情報精度管理士 2名
画像等手術支援認定診療放射線技師 1名
X線CT認定技師 1名
核医学専門技師認定 1名
1.X線撮影
X線撮影とは身体にX線を照射して写真を撮る検査のことです。一般的にレントゲン撮影といわれている検査のことです。この検査では主に胸部では肺の状態や心臓の大きさ、腹部ではおなかのガス(空気)や結石(石)、骨格系では骨折や関節の状態が分かります。
下肢全長写真
Virtual Gridを使用した胸部臥位X線写真
当院ではX線撮影室は3部屋あり、撮影はすべてFPD(フラットパネルディスプレイ)検出器を利用したデジタルX線装置で行っています。
DR装置とは・・・Digital radiographyの略で、FPD検出器を用いて、X線で撮影した情報を高速・高解像度・低線量で画像が描出できます。
DR装置とは・・・Digital radiographyの略で、FPD検出器を用いて、X線で撮影した情報を高速・高解像度・低線量で画像が描出できます。
<検査を受けられる患者様へ>
撮影部位に金属類、ボタン などがあると撮影の妨げとなる場合がありますのではずす、もしくは着替えていただく場合がございます。
島津社製 UD-150L-40
X1室
広めの撮影室なのでベッドも容易に入り撮影が多方向から可能です。
広めの撮影室なのでベッドも容易に入り撮影が多方向から可能です。
富士フイルム社製BENEO Fx
X2室
2019年12月よりFPD装置に変更になり長尺撮影が可能になりました。
2019年12月よりFPD装置に変更になり長尺撮影が可能になりました。
島津社製 UD-150L
X6室
胸腹部 立位撮影台
胸腹部 立位撮影台
2.FPD搭載型マンモグラフィー撮影装置
乳房X線撮影(マンモグラフィ)
乳房撮影のことを一般的にマンモグラフィといいます。マンモグラフィは乳房撮影専用の装置を使用し撮影します。撮影時、乳房を圧迫板で挟み、なるべく薄く広げて撮影します。圧迫することにより乳腺組織の重なりを分離でき石灰化や腫瘤を見つけやすく出来ます。
通常の検査では左右2方向ずつ、計4枚撮影します。
2012年9月よりFPD搭載のマンモグラフィー撮影装置を導入しました。これにより、今までの検査時間の約2/3程度の時間で検査が終わるようになりました。
⇒ このマンモグラフィー撮影装置は、乳房撮影画像をコンピュータで瞬時に処理し、即座に画像表示を可能とするデジタルX線撮影装置です。 従来の撮影装置では、撮影するためにフィルムの設置 → ポジショニング → 撮影 → フィルムの現像という時間を要していたのに対し、FPD搭載型マンモグラフィー撮影装置では、ポジショニング → 撮影という時間だけで画像が構築されるので撮影時間は半分程度になりますので患者様への負担はかなり減ります。
通常の検査では左右2方向ずつ、計4枚撮影します。
2012年9月よりFPD搭載のマンモグラフィー撮影装置を導入しました。これにより、今までの検査時間の約2/3程度の時間で検査が終わるようになりました。
⇒ このマンモグラフィー撮影装置は、乳房撮影画像をコンピュータで瞬時に処理し、即座に画像表示を可能とするデジタルX線撮影装置です。 従来の撮影装置では、撮影するためにフィルムの設置 → ポジショニング → 撮影 → フィルムの現像という時間を要していたのに対し、FPD搭載型マンモグラフィー撮影装置では、ポジショニング → 撮影という時間だけで画像が構築されるので撮影時間は半分程度になりますので患者様への負担はかなり減ります。
<検査を受けられる患者様へ>
富士フイルム社製 AMULLET S
◆基本的に上半身は全部脱いで撮影します。
◆髪の毛の長い方は後ろで束ねて頂きます。
◆メガネやネックレスは外して頂きます。
◆次の方は医師・診療放射線技師にご相談下さい。
・ペースメーカーの手術を受けられた方
・豊胸手術を受けられた方
・妊娠中・授乳中の方
◆髪の毛の長い方は後ろで束ねて頂きます。
◆メガネやネックレスは外して頂きます。
◆次の方は医師・診療放射線技師にご相談下さい。
・ペースメーカーの手術を受けられた方
・豊胸手術を受けられた方
・妊娠中・授乳中の方
3.X線テレビ検査(3台所有)
当院では、主に消化管造影検査と泌尿器系造影検査をX線テレビ室で行っています。
消化管造影検査とは消化管(食道、胃、十二指腸、小腸、大腸)を造影剤を使用し写し出す検査のことです。
当院では、このような装置を使用し検査を行っています。
消化管造影検査とは消化管(食道、胃、十二指腸、小腸、大腸)を造影剤を使用し写し出す検査のことです。
当院では、このような装置を使用し検査を行っています。
キヤノン社製Raffine-i
TV7室 下部消化管
キヤノン社製 Ultimax
TV8室 上部消化管他
胃造影写真
<上部消化管造影検査を受けられる方へ>
1.検査前日の夕食後から禁食にして下さい。検査時に胃に食べ物が残っていると検査が出来ない可能性があります。
2.お渡しする下剤を夜の9時に内服して下さい。以後、飲水も禁止して下さい。
3.検査当日は朝、飲食をせずに、排便を済ませ、検査時間の30分前に来院して下さい。
4.来院したら、受付機械で「外科・検査のみ」の受付を済ませ、放射線科受付へ予約表を提出して下さい。
5.検査時は検査着を着用し、メガネ、ネックレス、入れ歯などの金属類は外して頂きます。
6.検査終了後(帰宅後)、お渡しする下剤を内服して下さい。
7.検査後はバリウムにより便が白くなります。水分を多めに摂って下さい。
2.お渡しする下剤を夜の9時に内服して下さい。以後、飲水も禁止して下さい。
3.検査当日は朝、飲食をせずに、排便を済ませ、検査時間の30分前に来院して下さい。
4.来院したら、受付機械で「外科・検査のみ」の受付を済ませ、放射線科受付へ予約表を提出して下さい。
5.検査時は検査着を着用し、メガネ、ネックレス、入れ歯などの金属類は外して頂きます。
6.検査終了後(帰宅後)、お渡しする下剤を内服して下さい。
7.検査後はバリウムにより便が白くなります。水分を多めに摂って下さい。
<下部消化管造影検査(注腸検査)を受けられる方へ>
1.検査前日の朝食~夕食は、検査食を召し上がって下さい。大腸内に便が残っていると検査が出来なくなる可能性があります。検査食以外は召し上がらないで下さい。
2.夜7時ごろ、コップ1杯以上の水分をお飲み下さい。(乳製品・果汁類はお止め下さい。)
3.夜8時ごろ、お渡しする下剤3種類を一度にお飲み下さい。
4.寝る前にコップ1杯以上の水分をお飲み下さい。
5.検査当日は、お食事・水分を摂らずに来院して下さい。
6.来院したら、受付機械で「外科・検査のみ」の受付を済ませ、放射線科受付へ予約表を提出して下さい。
7.検査終了後、お渡しする下剤をお飲み下さい。
2.夜7時ごろ、コップ1杯以上の水分をお飲み下さい。(乳製品・果汁類はお止め下さい。)
3.夜8時ごろ、お渡しする下剤3種類を一度にお飲み下さい。
4.寝る前にコップ1杯以上の水分をお飲み下さい。
5.検査当日は、お食事・水分を摂らずに来院して下さい。
6.来院したら、受付機械で「外科・検査のみ」の受付を済ませ、放射線科受付へ予約表を提出して下さい。
7.検査終了後、お渡しする下剤をお飲み下さい。
島津社製 DAD-3000 UROMAX
TV5 泌尿器科 婦人科用 (DEXA同室 切替にて使用)
・この部屋のみCRで撮影を行っています。
4.骨塩定量検査
当院で使用している装置 GE社製 PRODIGY
骨塩定量検査とは、低いエネルギーのX線を利用して骨の密度を計測する検査のことです。骨の密度を計測することにより骨粗しょう症の診断などに役立ちます。
検査時間は、5~10分程度で終了する検査です。
検査時間は、5~10分程度で終了する検査です。
5.血管造影検査
血管造影検査とは、足の付け根や腕からカテーテルとよばれる細い管を血管内へ入れ、目的の血管の走行や状態の確認を行う検査です。また、挿入しているカテーテルを利用して狭窄している血管の血管内治療や出血している血管の塞栓術なども行えます。血管造影対象は、頭部、心臓、腹部、骨盤、脚などの血管に対して行うことが出来ます。当院では、循環器専用の血管撮影装置1台と全身撮影用の汎用血管撮影装置1台が稼動しています。
PHILIPS社製 Azurion
SIEMENS Artis zee BC
頭部血管造影像
腹部血管造影像
心臓・冠動脈造影像
心臓・左心室造影像
6.X線CT検査
X線CT検査とは、Computed Tomographyの略で、寝台に寝ていただいたまま筒状の装置の中に入り、体の断層画像(輪切り)を撮る検査のことです。断層画像が得られることにより、診断に大変役立つ検査です。
当院で使用している装置は、GE社製 Light Speed VCT という検出器が64列のMDCT装置です。横断面(水平面)の画像だけでなく、任意の断面画像も得ることが出来ます。MDCTは、頭から足までわずか十数秒で撮影することが可能です。血管の走行の撮影や動き、血管の走行の撮影や動きの速い心臓などの撮影にも優れています。
新たにGE社製 Revolition CT という検出器が256列のMDCTを導入したことで、従来と比較して更なる低被ばく、かつ高精細な画像を描出することが可能となりました。また、Dual Energy 撮影機能も搭載されており、腎機能が悪い方への造影剤の低減や、体内の物質密度画像の描出なども可能となりました。
当院で使用している装置は、GE社製 Light Speed VCT という検出器が64列のMDCT装置です。横断面(水平面)の画像だけでなく、任意の断面画像も得ることが出来ます。MDCTは、頭から足までわずか十数秒で撮影することが可能です。血管の走行の撮影や動き、血管の走行の撮影や動きの速い心臓などの撮影にも優れています。
新たにGE社製 Revolition CT という検出器が256列のMDCTを導入したことで、従来と比較して更なる低被ばく、かつ高精細な画像を描出することが可能となりました。また、Dual Energy 撮影機能も搭載されており、腎機能が悪い方への造影剤の低減や、体内の物質密度画像の描出なども可能となりました。
GE社製 64列 Light Speed VCT
GE社製 256列 Revolition CT
大動脈3D像
腹部水平断像
Revolution CTでは、シングルエナジーCTでは得られなかった画像・情報の取得が可能となります。形態評価がメインであったCT画像診断からコントラストの増強や性状評価により、形態・CT値では評価し難い病変での診断能向上・診断確信度の向上に貢献します。また、GSI Xtreamでは高い分解能を維持しながら金属アーチファクトを効果的に低減可能なため、金属インプラント周辺の診断に有効です。同時並行高速画像処理技術により診断に必要な画像は、検査終了後に自動的にPACSに送信可能です。これらの技術により、シングルエナジーCTと同様のワークフローでデュアルエナジー検査を日常臨床に使用することが可能です。
(GE社 ホームページ 引用)
(GE社 ホームページ 引用)
心臓・冠動脈3D像
脳血管3D像
肘関節3D像
<造影剤を使用する検査を受けられる患者様へ>
◆造影CT検査で使用するヨード造影剤は、X線を用いた各種検査で広く使用されています。静脈内に注射することにより、診断や治療に有用な情報を得ることが出来ます。
ヨード造影剤は比較的安全な薬剤と考えられていますが、過敏症のために副作用が出現する可能性があります。次の方は検査前にお申し出下さい
・過去に造影剤を使用した検査を受けられ、その際に気分が悪くなった方
・糖尿病と診断されたことがあり糖尿病薬を服用中の方
・ペースメーカーを挿入されている方
・妊娠されている、または可能性のある方
・喘息と診断されたことのある方
◆造影CT検査をお受けになる前に
お食事は、検査を受けられる2時間前より摂らないで下さい。お水やお茶などの水分はお飲み頂いて結構です。
◆造影CT検査を受けられた患者様へ
・造影剤は尿として排泄されます。排泄を促進させるため普段より多めの水分をおとり下さい。
・特に普段の生活に制限はありません。普段より多めの水分を摂って下さい。
・検査終了後、数時間から数日後に頭痛、吐き気、かゆみ、蕁麻疹などの症状が現れることがまれにあります。帰宅後、蕁麻疹等の副作用と思われる症状が現れた場合は、受診科へご連絡下さい。夜間も救急外来で対応いたします
ヨード造影剤は比較的安全な薬剤と考えられていますが、過敏症のために副作用が出現する可能性があります。次の方は検査前にお申し出下さい
・過去に造影剤を使用した検査を受けられ、その際に気分が悪くなった方
・糖尿病と診断されたことがあり糖尿病薬を服用中の方
・ペースメーカーを挿入されている方
・妊娠されている、または可能性のある方
・喘息と診断されたことのある方
◆造影CT検査をお受けになる前に
お食事は、検査を受けられる2時間前より摂らないで下さい。お水やお茶などの水分はお飲み頂いて結構です。
◆造影CT検査を受けられた患者様へ
・造影剤は尿として排泄されます。排泄を促進させるため普段より多めの水分をおとり下さい。
・特に普段の生活に制限はありません。普段より多めの水分を摂って下さい。
・検査終了後、数時間から数日後に頭痛、吐き気、かゆみ、蕁麻疹などの症状が現れることがまれにあります。帰宅後、蕁麻疹等の副作用と思われる症状が現れた場合は、受診科へご連絡下さい。夜間も救急外来で対応いたします
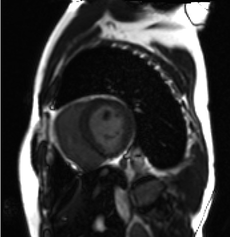
7.MRI検査
MRI検査は、強力な磁石でできた筒の中に入り磁気の力を利用して体の臓器や血管を撮影する検査です。(MRI=Magnetic Resonance Imaging:磁気共鳴画像診断装置)CT検査とは異なり放射線を使わないため、被ばくの心配はありません。
MRI検査では、特に、脳や脊椎、四肢、また、子宮、卵巣、前立腺等の骨盤腔に生じた病変に関して優れた描出能が知られています。当院では、現在2台のMRI(3T,1.5T)が稼動しています。
MRI検査では、特に、脳や脊椎、四肢、また、子宮、卵巣、前立腺等の骨盤腔に生じた病変に関して優れた描出能が知られています。当院では、現在2台のMRI(3T,1.5T)が稼動しています。
SIEMENS 社製 MAGNETOM Skyra3T
PHILIPS社製 Achieva 1.5T
非造影腎動脈
心臓遅延造影
非造影門脈
MRCP
顎関節 関節円盤
非造影下肢MRA
非造影下肢MRV
<検査を受けられる患者様へ>
・ 検査時間は10分~30分程度です。(検査部位により異なります。)事前にトイレ等は済ませて下さい。
・ 検査中は横に寝ているだけの検査です。検査中に不快なことがありましたらお渡しするブザーでお知らせ下さい。
・ 検査中は工事現場のような大きな音がしますのでヘッドホンをしていただきます。
・ 撮影の際、着替えていただく場合があります。(専用の検査着を用意してあります。)
・ なるべくお化粧はせずに来院して下さい。特にアイシャドウ等は付けないで下さい。
・ アクセサリーや入れ歯、財布、使い捨てカイロなどの金属類は外して頂きます。
・ ジェルネイル、マグネットネイルをされている方は、事前に除去してご来院ください。
※次のような方はMRI検査が受けられないことがあります。事前に申し出て下さい。
・ 心臓ペースメーカーを装着されている方
・ 手術等で体内に金属の入っている方
・ 入れ墨をされている方
・ 閉所恐怖症の方
・ 妊娠または妊娠の可能性がある方
・ 持続血糖測定器(リブレなど)を使用中の方
・ 検査中は横に寝ているだけの検査です。検査中に不快なことがありましたらお渡しするブザーでお知らせ下さい。
・ 検査中は工事現場のような大きな音がしますのでヘッドホンをしていただきます。
・ 撮影の際、着替えていただく場合があります。(専用の検査着を用意してあります。)
・ なるべくお化粧はせずに来院して下さい。特にアイシャドウ等は付けないで下さい。
・ アクセサリーや入れ歯、財布、使い捨てカイロなどの金属類は外して頂きます。
・ ジェルネイル、マグネットネイルをされている方は、事前に除去してご来院ください。
※次のような方はMRI検査が受けられないことがあります。事前に申し出て下さい。
・ 心臓ペースメーカーを装着されている方
・ 手術等で体内に金属の入っている方
・ 入れ墨をされている方
・ 閉所恐怖症の方
・ 妊娠または妊娠の可能性がある方
・ 持続血糖測定器(リブレなど)を使用中の方
8.核医学検査
核医学検査とは、人体にアイソトープを含んだ薬を投与し、そこから出る放射線をガンマカメラという装置で画像化する検査です。
アイソトープを含んだ薬のことを放射性医薬品「以下 医薬品」といいます。この医薬品は、体内の血流状態や臓器の機能などを放射性物質の信号により画像化します。検査の多くは、この医薬品を体内に投与しながら、もしくは投与後において撮影する方法がとられます。注射以外は患者様にかかる負担が比較的少ない検査です。
また、この検査は ・・・・ 副作用の少ない ・・・
各部位の血流状態や機能情報を調べる検査のことです。
アイソトープを含んだ薬のことを放射性医薬品「以下 医薬品」といいます。この医薬品は、体内の血流状態や臓器の機能などを放射性物質の信号により画像化します。検査の多くは、この医薬品を体内に投与しながら、もしくは投与後において撮影する方法がとられます。注射以外は患者様にかかる負担が比較的少ない検査です。
また、この検査は ・・・・ 副作用の少ない ・・・
各部位の血流状態や機能情報を調べる検査のことです。
SIEMENS e-CAM
<検査を受けられる患者様へ>
予約時、検査に関する説明を放射線科受付において行っております。その際、検査日時ならびに注意事項を記した予約票をお渡ししていますのでお受け取り下さい。
核医学検査で使用するお薬は非常に有効期限が短いため出来る限り当日のキャンセルや予約変更の無いようにご協力をお願い致します。
核医学検査で使用するお薬は非常に有効期限が短いため出来る限り当日のキャンセルや予約変更の無いようにご協力をお願い致します。
全身の骨シンチ像
心臓の輪切り像
心臓の動きを示した像
脳血流の分布をみる3軸断面図
9.PET・CT
PETとは、「Positron Emission Tomography(陽電子放射断層撮影)」の略でポジトロン(陽電子)を放出するアイソトープ(放射性同位元素)で標識された薬剤(PET製剤)を注射し、その体内分布を特殊なカメラで映像化する診断法です。
さらにCT検査を組み合わせることにより、他の検査との比較では、肺がんで約20倍、大腸がん・乳がんでは約10倍の発見率があるともいわれています。
当院ではPET/CTがん検診を行っています。詳しくはPET/CTがん検診の項目をご覧ください。
さらにCT検査を組み合わせることにより、他の検査との比較では、肺がんで約20倍、大腸がん・乳がんでは約10倍の発見率があるともいわれています。
当院ではPET/CTがん検診を行っています。詳しくはPET/CTがん検診の項目をご覧ください。
SIEMENS biograh LSO
PET 画像
PET CT fusion 画像
10.放射線治療
Varian社製 True BEAM
詳しくは、放射線治療部門をご覧ください。
11.ポータブル撮影
1.病棟回診用 シーメンス MOBILETT XP Hybrid
2.病棟回診用 ティーアンドエス T-WALKER α
3.救急病棟(常置) 富士フイルム AQRO FPDも富士フイルム社製
4.感染病棟(常置) シーメンスMOBILETT XP Hybrid
5.NICU(常置) 日立製作所 Sirius airy
6.OPE室(常置) 島津製作所 Mobile Art Evolution
7.病棟回診用 シーメンス MOBILETT XP Hybrid
外科用イメージ 3台(OPE室 常置)
1.島津社製 OPE SCOPE ACTIVO
2.SIEMENS社製 SIREMOBIL Compact L
3.GE社製 OEC Elite
当院では、「コニカミノルタ社製 AeroDR」を使用しています。このX線撮影装置は、X線撮影画像をコンピュータで瞬時に処理し即座に画像表示を可能とするデジタルX線撮影装置です。瞬時に診断画像を表示できるので患者様の検査時間をこれまで以上に短縮し、また従来のX線撮影に比べて極めて少ない線量できめ細やかな診断画像を作成できるため、患者様の負担を大幅に低減することができます。
2.病棟回診用 ティーアンドエス T-WALKER α
3.救急病棟(常置) 富士フイルム AQRO FPDも富士フイルム社製
4.感染病棟(常置) シーメンスMOBILETT XP Hybrid
5.NICU(常置) 日立製作所 Sirius airy
6.OPE室(常置) 島津製作所 Mobile Art Evolution
7.病棟回診用 シーメンス MOBILETT XP Hybrid
外科用イメージ 3台(OPE室 常置)
1.島津社製 OPE SCOPE ACTIVO
2.SIEMENS社製 SIREMOBIL Compact L
3.GE社製 OEC Elite
当院では、「コニカミノルタ社製 AeroDR」を使用しています。このX線撮影装置は、X線撮影画像をコンピュータで瞬時に処理し即座に画像表示を可能とするデジタルX線撮影装置です。瞬時に診断画像を表示できるので患者様の検査時間をこれまで以上に短縮し、また従来のX線撮影に比べて極めて少ない線量できめ細やかな診断画像を作成できるため、患者様の負担を大幅に低減することができます。
一部 ポータブル





